Skip navigation
MedlinePlus Trusted Health Information for You U.S. National Library of MedicineNational Institutes of Health
Contact Us FAQs Site Map About MedlinePlus
español Home Health Topics Drugs & Supplements Medical Encyclopedia Dictionary News Directories Other Resources

Medical Encyclopedia

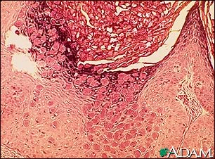
Molluscum, microscopic appearance

Molluscum, microscopic appearance

This is how a molluscum lesion appears under microscopic examination. Molluscum are small, raised, pearly skin lesions caused by the molluscum virus, a member of the poxvirus family.

Update Date: 7/17/2007

Updated by: Kevin Berman, MD, PhD, Associate, Atlanta Center for Dermatologic Disease, Atlanta, GA. Review provided by VeriMed Healthcare Network.

A.D.A.M. Logo

The information provided herein should not be used during any medical emergency or for the diagnosis or treatment of any medical condition. A licensed physician should be consulted for diagnosis and treatment of any and all medical conditions. Call 911 for all medical emergencies. Links to other sites are provided for information only -- they do not constitute endorsements of those other sites. Copyright 1997-2008, A.D.A.M., Inc. Any duplication or distribution of the information contained herein is strictly prohibited.