| Skip navigation | ||
![]() |
![]() | ![]() |
|
|
||
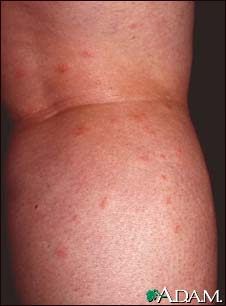
Insect bites on the legs

Insect bites may be grouped, raised (papular), hive-like (urticarial) and have a surrounding halo. Occasionally a central depression, or punctum, can be seen.
Update Date: 5/11/2006 Updated by: Eric Perez, MD, Department of Emergency Medicine, St. Luke's-Roosevelt Hospital Center, New York, NY. Review provided by VeriMed Healthcare Network.

| Home | Health Topics | Drugs & Supplements | Encyclopedia | Dictionary | News | Directories | Other Resources | |
| Copyright | Privacy | Accessibility | Quality Guidelines U.S. National Library of Medicine, 8600 Rockville Pike, Bethesda, MD 20894 National Institutes of Health | Department of Health & Human Services |
Page last updated: 02 January 2008 |