| Skip navigation | ||
![]() |
![]() | ![]() |
|
|
||
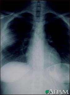
Aspergillosis - chest X-ray

Aspergillosis is a fungal infection. The fungus invades and destroys tissue. This type of infection usually occurs in immunocompromised individuals. Here, a chest x-ray shows that the fungus has invaded the lung tissue. The lungs are usually seen as black areas on an x-ray. The cloudiness on the left side of this x-ray is caused by the fungus.
Update Date: 5/2/2006 Updated by: Benjamin Taragin, M.D., Department of Radiology, Columbia Presbyterian Medical Center, New York, NY. Review Provided by VeriMed Healthcare Network.

| Home | Health Topics | Drugs & Supplements | Encyclopedia | Dictionary | News | Directories | Other Resources | |
| Copyright | Privacy | Accessibility | Quality Guidelines U.S. National Library of Medicine, 8600 Rockville Pike, Bethesda, MD 20894 National Institutes of Health | Department of Health & Human Services |
Page last updated: 02 January 2008 |