| Skip navigation | ||
![]() |
![]() | ![]() |
|
|
||
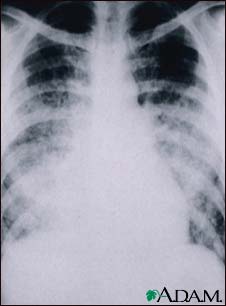
Chickenpox, acute pneumonia - chest X-ray

This chest x-ray shows cloudiness throughout the lungs, caused by acute pneumonia following chickenpox. Pneumonia, as a complication of chickenpox, rarely occurs in children, but occurs in about one-fifth of adults.
Update Date: 7/26/2007 Updated by: Daniel Rauch, M.D., FAAP., Director, Pediatric Hospitalist Program, New York University School of Medicine, New York, NY. Review provided by VeriMed Healthcare Network.

| Home | Health Topics | Drugs & Supplements | Encyclopedia | Dictionary | News | Directories | Other Resources | |
| Copyright | Privacy | Accessibility | Quality Guidelines U.S. National Library of Medicine, 8600 Rockville Pike, Bethesda, MD 20894 National Institutes of Health | Department of Health & Human Services |
Page last updated: 02 January 2008 |