Skip navigation
MedlinePlus Trusted Health Information for You U.S. National Library of MedicineNational Institutes of Health
Contact Us FAQs Site Map About MedlinePlus
español Home Health Topics Drugs & Supplements Medical Encyclopedia Dictionary News Directories Other Resources

Medical Encyclopedia

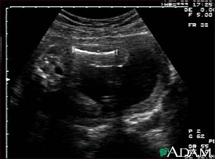
Ultrasound, normal fetus - femur measurement

Ultrasound, normal fetus - femur measurement

This is a normal ultrasound of the fetus performed at 19 weeks gestation. A clear view of the left femur (the large bone of the leg) can be seen in the middle, towards the top of the ultrasound screen.

Update Date: 5/2/2006

Updated by: Benjamin Taragin, M.D., Department of Radiology, Columbia Presbyterian Medical Center, New York, NY. Review Provided by VeriMed Healthcare Network.

A.D.A.M. Logo

The information provided herein should not be used during any medical emergency or for the diagnosis or treatment of any medical condition. A licensed physician should be consulted for diagnosis and treatment of any and all medical conditions. Call 911 for all medical emergencies. Links to other sites are provided for information only -- they do not constitute endorsements of those other sites. Copyright 1997-2008, A.D.A.M., Inc. Any duplication or distribution of the information contained herein is strictly prohibited.