Skip navigation
MedlinePlus Trusted Health Information for You U.S. National Library of MedicineNational Institutes of Health
Contact Us FAQs Site Map About MedlinePlus
español Home Health Topics Drugs & Supplements Medical Encyclopedia Dictionary News Directories Other Resources

Medical Encyclopedia

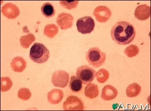
Erythroblastosis fetalis, photomicrograph

Erythroblastosis fetalis, photomicrograph

Antibodies from an Rh negative mother may enter the blood stream of her unborn Rh positive infant, damaging the red blood cells (RBCs). The infant responds by increasing RBC production and sending out immature RBCs that still have nuclei. This photograph shows normal RBCs, damaged RBCs, and immature RBCs that still contain nuclei.

Update Date: 5/2/2006

Updated by: Michael C. Milone, M.D., Ph.D., Department of Pathology and Laboratory Medicine, University of Pennsylvania Medical Center, Philadelphia, PA.

A.D.A.M. Logo

The information provided herein should not be used during any medical emergency or for the diagnosis or treatment of any medical condition. A licensed physician should be consulted for diagnosis and treatment of any and all medical conditions. Call 911 for all medical emergencies. Links to other sites are provided for information only -- they do not constitute endorsements of those other sites. Copyright 1997-2008, A.D.A.M., Inc. Any duplication or distribution of the information contained herein is strictly prohibited.