| Skip navigation | ||
![]() |
![]() | ![]() |
|
|
||
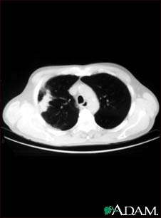
Lung with squamous cell cancer - CT scan

This CT scan shows a cross section of the lungs of a person with lung cancer. The two dark areas in the middle of the screen are the lungs. The light areas in the right lung represent the cancer (left side of picture).
Update Date: 7/18/2007 Updated by: Stuart Bentley-Hibbert, M.D., Ph.D., Department of Radiology, Weill Cornell Medical Center, New York, NY. Review provided by VeriMed Healthcare Network.

| Home | Health Topics | Drugs & Supplements | Encyclopedia | Dictionary | News | Directories | Other Resources | |
| Copyright | Privacy | Accessibility | Quality Guidelines U.S. National Library of Medicine, 8600 Rockville Pike, Bethesda, MD 20894 National Institutes of Health | Department of Health & Human Services |
Page last updated: 02 January 2008 |