| Skip navigation | ||
![]() |
![]() | ![]() |
|
|
||
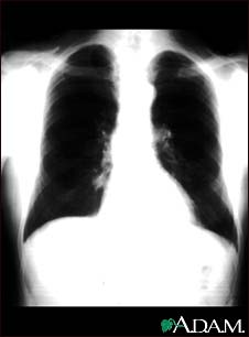
Lung nodule - front view chest X-ray

This is a chest x-ray showing a mass in the right lower lung near heart (seen on the left side of the picture).
Update Date: 8/10/2007 Updated by: Allen J. Blaivas, DO, Pulmonary, Critical Care, and Sleep Medicine, Department of Veteran Affairs, VA System, East Orange, NJ. Review provided by VeriMed Healthcare Network.

| Home | Health Topics | Drugs & Supplements | Encyclopedia | Dictionary | News | Directories | Other Resources | |
| Copyright | Privacy | Accessibility | Quality Guidelines U.S. National Library of Medicine, 8600 Rockville Pike, Bethesda, MD 20894 National Institutes of Health | Department of Health & Human Services |
Page last updated: 02 January 2008 |