| Skip navigation | ||
![]() |
![]() | ![]() |
|
|
||
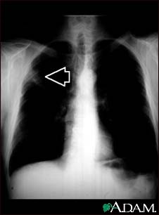
Lung mass, right upper lung - chest X-ray

This picture is a chest x-ray of a person with a lung mass. This is a front view, where the lungs are the two dark areas and the heart and other structures are visible in the middle of the chest. The x-ray shows a mass in the right upper lung, indicated with the arrow (seen on the left side of the picture).
Update Date: 7/18/2007 Updated by: Stuart Bentley-Hibbert, M.D., Ph.D., Department of Radiology, Weill Cornell Medical Center, New York, NY. Review provided by VeriMed Healthcare Network.

| Home | Health Topics | Drugs & Supplements | Encyclopedia | Dictionary | News | Directories | Other Resources | |
| Copyright | Privacy | Accessibility | Quality Guidelines U.S. National Library of Medicine, 8600 Rockville Pike, Bethesda, MD 20894 National Institutes of Health | Department of Health & Human Services |
Page last updated: 02 January 2008 |