| Skip navigation | ||
![]() |
![]() | ![]() |
|
|
||
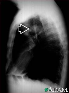
Pulmonary mass - side view chest X-ray

This individual has a mass in the upper part of the lung. Although the cause of the mass can be suspected, based on this person's history, there are many diseases that can produce lung lesions.
Update Date: 7/18/2007 Updated by: Stuart Bentley-Hibbert, M.D., Ph.D., Department of Radiology, Weill Cornell Medical Center, New York, NY. Review provided by VeriMed Healthcare Network.

| Home | Health Topics | Drugs & Supplements | Encyclopedia | Dictionary | News | Directories | Other Resources | |
| Copyright | Privacy | Accessibility | Quality Guidelines U.S. National Library of Medicine, 8600 Rockville Pike, Bethesda, MD 20894 National Institutes of Health | Department of Health & Human Services |
Page last updated: 02 January 2008 |