| Skip navigation | ||
![]() |
![]() | ![]() |
|
|
||
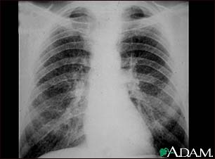
Coal workers pneumoconiosis - stage II

This chest x-ray shows stage II coal worker's pneumoconiosis (CWP). There are diffuse, small light areas on both sides of the lungs. Other diseases that may explain these x-ray findings include simple silicosis, disseminated tuberculosis, metastatic lung cancer, and other diffuse, infiltrative pulmonary diseases.
Update Date: 8/10/2007 Updated by: Allen J. Blaivas, DO, Pulmonary, Critical Care, and Sleep Medicine, Department of Veteran Affairs, VA System, East Orange, NJ. Review provided by VeriMed Healthcare Network.

| Home | Health Topics | Drugs & Supplements | Encyclopedia | Dictionary | News | Directories | Other Resources | |
| Copyright | Privacy | Accessibility | Quality Guidelines U.S. National Library of Medicine, 8600 Rockville Pike, Bethesda, MD 20894 National Institutes of Health | Department of Health & Human Services |
Page last updated: 02 January 2008 |