| Skip navigation | ||
![]() |
![]() | ![]() |
|
|
||
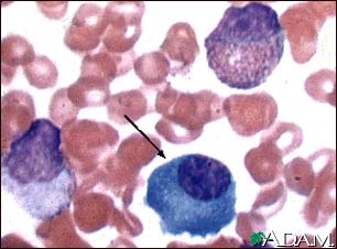
Waldenstroms

Lymphocytoid appearing plasma cell nucleus similar to a lymphocyte and cytoplasm similar to a plasma cell.
Update Date: 9/20/2006 Updated by: Corey Cutler, MD, MPH, FRCP(C), Assistant Professor of Medicine, Harvard Medical School; Department of Medical Oncology, Dana-Farber Cancer Institute, Boston, MA. Review provided by VeriMed Healthcare Network.

| Home | Health Topics | Drugs & Supplements | Encyclopedia | Dictionary | News | Directories | Other Resources | |
| Copyright | Privacy | Accessibility | Quality Guidelines U.S. National Library of Medicine, 8600 Rockville Pike, Bethesda, MD 20894 National Institutes of Health | Department of Health & Human Services |
Page last updated: 02 January 2008 |