| Skip navigation | ||
![]() |
![]() | ![]() |
|
|
||
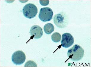
Reticulocytes

In the presence of some anemias, the body increases production of red blood cells (RBCs), and sends these cells into the bloodstream before they are mature. These slightly immature cells are called reticulocytes, and are characterized by a network of filaments and granules. Reticulocytes normally make up 1% of the total RBC count, but may exceed levels of 4% when compensating for anemia.
Update Date: 5/3/2006 Updated by: Michael C. Milone, M.D., Ph.D., Department of Pathology and Laboratory Medicine, University of Pennsylvania Medical Center, Philadelphia, PA.

| Home | Health Topics | Drugs & Supplements | Encyclopedia | Dictionary | News | Directories | Other Resources | |
| Copyright | Privacy | Accessibility | Quality Guidelines U.S. National Library of Medicine, 8600 Rockville Pike, Bethesda, MD 20894 National Institutes of Health | Department of Health & Human Services |
Page last updated: 02 January 2008 |