| Skip navigation | ||
![]() |
![]() | ![]() |
|
|
||
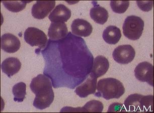
Infectious Mononucleosis #3

Infectious mononucleosis is caused by the Epstein-Barr virus. It is a viral infection causing high temperature, sore throat, and swollen lymph glands. Infectious mononucleosis can be contagious if the infected person comes in close or intimate contact with another person through saliva or sexual contact.
Update Date: 9/18/2006 Updated by: Hilary M. Babcock, M.D., Medical Director of Occupational Infection Control, Barnes-Jewish and St. Louis Children's Hospitals; Instructor of Medicine, Infectious Disease Division, Washington University School of Medicine, St. Louis, MO. Review provided by VeriMed Healthcare Network.

| Home | Health Topics | Drugs & Supplements | Encyclopedia | Dictionary | News | Directories | Other Resources | |
| Copyright | Privacy | Accessibility | Quality Guidelines U.S. National Library of Medicine, 8600 Rockville Pike, Bethesda, MD 20894 National Institutes of Health | Department of Health & Human Services |
Page last updated: 02 January 2008 |