| Skip navigation | ||
![]() |
![]() | ![]() |
|
|
||
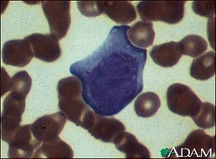
Mononucleosis, photomicrograph of cells

This is a lymphocyte that has been infected by the Epstein-Barr Virus (EBV) or Cytomegalovirus (CMV) in infectious mononucleosis and is referred to as a "Downy cell". Downy cells may be classified as types I, II, or III; this is a type I Downy cell.
Update Date: 5/3/2006 Updated by: Michael C. Milone, M.D., Ph.D., Department of Pathology and Laboratory Medicine, University of Pennsylvania Medical Center, Philadelphia, PA.

| Home | Health Topics | Drugs & Supplements | Encyclopedia | Dictionary | News | Directories | Other Resources | |
| Copyright | Privacy | Accessibility | Quality Guidelines U.S. National Library of Medicine, 8600 Rockville Pike, Bethesda, MD 20894 National Institutes of Health | Department of Health & Human Services |
Page last updated: 02 January 2008 |