| Skip navigation | ||
![]() |
![]() | ![]() |
|
|
||
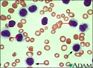
Hairy cell leukemia - microscopic view

All the cells in this field are hairy cells. The cell membranes appear irregular and serrated. The cytoplasm stains light blue (black arrows). The nuclei tend to be irregular (red arrows).
Update Date: 5/3/2006 Updated by: Michael C. Milone, M.D., Ph.D., Department of Pathology and Laboratory Medicine, University of Pennsylvania Medical Center, Philadelphia, PA.

| Home | Health Topics | Drugs & Supplements | Encyclopedia | Dictionary | News | Directories | Other Resources | |
| Copyright | Privacy | Accessibility | Quality Guidelines U.S. National Library of Medicine, 8600 Rockville Pike, Bethesda, MD 20894 National Institutes of Health | Department of Health & Human Services |
Page last updated: 02 January 2008 |