| Skip navigation | ||
![]() |
![]() | ![]() |
|
|
||
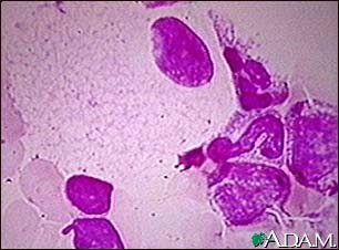
Niemann-Pick foamy cells

Neimann-Pick is a disease in which excess material is stored inside cells (metabolic storage disease). These cells are referred to as "foam cells" because of their foamy or soap-suds appearance.
Update Date: 5/1/2006 Updated by: Michael C. Milone, M.D., Ph.D., Department of Pathology and Laboratory Medicine, University of Pennsylvania Medical Center, Philadelphia, PA.

| Home | Health Topics | Drugs & Supplements | Encyclopedia | Dictionary | News | Directories | Other Resources | |
| Copyright | Privacy | Accessibility | Quality Guidelines U.S. National Library of Medicine, 8600 Rockville Pike, Bethesda, MD 20894 National Institutes of Health | Department of Health & Human Services |
Page last updated: 02 January 2008 |