| Skip navigation | ||
![]() |
![]() | ![]() |
|
|
||
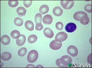
Megaloblastic anemia - view of red blood cells

This picture shows large, dense, oversized, red blood cells (RBCs) that are seen in megaloblastic anemia. Megaloblastic anemia can occur when there is a deficiency of vitamin B-12.
Update Date: 8/27/2007 Updated by: Stephen Grund, M.D. Ph.D., Chief of Hematology/Oncology and Director of the George Bray Cancer Center at New Britain General Hospital, New Britain, CT. Review provided by VeriMed Healthcare Network.

| Home | Health Topics | Drugs & Supplements | Encyclopedia | Dictionary | News | Directories | Other Resources | |
| Copyright | Privacy | Accessibility | Quality Guidelines U.S. National Library of Medicine, 8600 Rockville Pike, Bethesda, MD 20894 National Institutes of Health | Department of Health & Human Services |
Page last updated: 02 January 2008 |