| Skip navigation | ||
![]() |
![]() | ![]() |
|
|
||
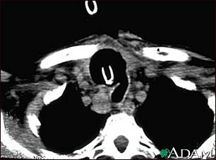
Thyroid cancer - CT scan

This CT scan of the upper chest (thorax) shows a malignant thyroid tumor (cancer). The dark area around the trachea (marked by the white U-shaped tip of the respiratory tube) is an area where normal tissue has been eroded and died (necrosis) as a result of tumor growth.
Update Date: 7/18/2007 Updated by: Stuart Bentley-Hibbert, M.D., Ph.D., Department of Radiology, Weill Cornell Medical Center, New York, NY. Review provided by VeriMed Healthcare Network.

| Home | Health Topics | Drugs & Supplements | Encyclopedia | Dictionary | News | Directories | Other Resources | |
| Copyright | Privacy | Accessibility | Quality Guidelines U.S. National Library of Medicine, 8600 Rockville Pike, Bethesda, MD 20894 National Institutes of Health | Department of Health & Human Services |
Page last updated: 02 January 2008 |