| Skip navigation | ||
![]() |
![]() | ![]() |
|
|
||
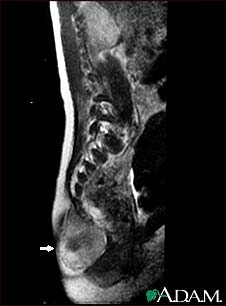
Teratoma - MRI scan

This MRI scan shows a tumor (teratoma) at the base of the spine (seen on the left lower edge of the screen), located in the sacrum and coccyx (sacrococcygeal) area. Teratomas are present at birth and may contain hair, teeth, and other tissues.
Update Date: 5/1/2006 Updated by: Benjamin Taragin, M.D., Department of Radiology, Columbia Presbyterian Medical Center, New York, NY. Review Provided by VeriMed Healthcare Network.

| Home | Health Topics | Drugs & Supplements | Encyclopedia | Dictionary | News | Directories | Other Resources | |
| Copyright | Privacy | Accessibility | Quality Guidelines U.S. National Library of Medicine, 8600 Rockville Pike, Bethesda, MD 20894 National Institutes of Health | Department of Health & Human Services |
Page last updated: 02 January 2008 |