| Skip navigation | ||
![]() |
![]() | ![]() |
|
|
||
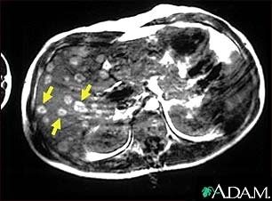
Melanoma of the liver - MRI scan

This upper abdominal MRI scan shows multiple tumors in the liver which have spread (metastasized) from a malignant melanoma in an arm or leg. Note the light circular areas throughout the liver (seen mostly on the left side of the screen).
Update Date: 8/21/2006 Updated by: Marcia S. Brose, M.D., Ph.D., Assistant Professor, Hematology/Oncology, The University of Pennsylvania Cancer Center, Philadelphia, PA. Review provided by VeriMed Healthcare Network.

| Home | Health Topics | Drugs & Supplements | Encyclopedia | Dictionary | News | Directories | Other Resources | |
| Copyright | Privacy | Accessibility | Quality Guidelines U.S. National Library of Medicine, 8600 Rockville Pike, Bethesda, MD 20894 National Institutes of Health | Department of Health & Human Services |
Page last updated: 02 January 2008 |