| Skip navigation | ||
![]() |
![]() | ![]() |
|
|
||
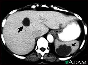
Liver and spleen cysts - CT scan

This abdominal CT scan shows multiple cysts in the liver and spleen. Note the dark circular cyst in the liver (left side of screen) and the large, irregular, circular cyst in the spleen (bottom, right side of screen).
Update Date: 8/14/2007 Updated by: Charles Silberberg, DO, Private Practice specializing in Nephrology, Affiliated with New York Medical College, Division of Nephrology, Valhalla, NY. Review provided by VeriMed Healthcare Network.

| Home | Health Topics | Drugs & Supplements | Encyclopedia | Dictionary | News | Directories | Other Resources | |
| Copyright | Privacy | Accessibility | Quality Guidelines U.S. National Library of Medicine, 8600 Rockville Pike, Bethesda, MD 20894 National Institutes of Health | Department of Health & Human Services |
Page last updated: 02 January 2008 |