| Skip navigation | ||
![]() |
![]() | ![]() |
|
|
||
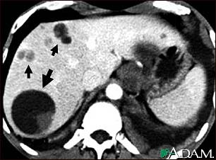
Liver echinococcus - CT scan

This upper abdominal CT scan shows multiple cysts in the liver, caused by dog tapeworm (echinococcus). Note the large circular cyst (seen on the left side of the screen) and multiple smaller cysts throughout the liver.
Update Date: 5/1/2006 Updated by: Benjamin Taragin, M.D., Department of Radiology, Columbia Presbyterian Medical Center, New York, NY. Review Provided by VeriMed Healthcare Network.

| Home | Health Topics | Drugs & Supplements | Encyclopedia | Dictionary | News | Directories | Other Resources | |
| Copyright | Privacy | Accessibility | Quality Guidelines U.S. National Library of Medicine, 8600 Rockville Pike, Bethesda, MD 20894 National Institutes of Health | Department of Health & Human Services |
Page last updated: 02 January 2008 |