| Skip navigation | ||
![]() |
![]() | ![]() |
|
|
||
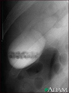
Gallstones, cholangiogram

A cholecystogram in a patient with gallstones.
Update Date: 8/7/2007 Updated by: Jenifer K. Lehrer, MD, Department of Gastroenterology, Frankford-Torresdale Hospital, Jefferson Health System, Philadelphia, PA. Review provided by VeriMed Healthcare Network.

| Home | Health Topics | Drugs & Supplements | Encyclopedia | Dictionary | News | Directories | Other Resources | |
| Copyright | Privacy | Accessibility | Quality Guidelines U.S. National Library of Medicine, 8600 Rockville Pike, Bethesda, MD 20894 National Institutes of Health | Department of Health & Human Services |
Page last updated: 02 January 2008 |