| Skip navigation | ||
![]() |
![]() | ![]() |
|
|
||
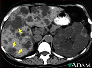
Kidney and liver cysts - CT scan

This abdominal CT scan shows cysts in the liver and kidneys (polycystic disease). The liver is the large organ on the left side of the screen. The dark spots in the liver are cysts.
Update Date: 8/14/2007 Updated by: Charles Silberberg, DO, Private Practice specializing in Nephrology, Affiliated with New York Medical College, Division of Nephrology, Valhalla, NY. Review provided by VeriMed Healthcare Network.

| Home | Health Topics | Drugs & Supplements | Encyclopedia | Dictionary | News | Directories | Other Resources | |
| Copyright | Privacy | Accessibility | Quality Guidelines U.S. National Library of Medicine, 8600 Rockville Pike, Bethesda, MD 20894 National Institutes of Health | Department of Health & Human Services |
Page last updated: 02 January 2008 |