| Skip navigation | ||
![]() |
![]() | ![]() |
|
|
||
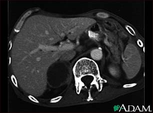
Adrenal metastases, CT scan

This CT scan of the upper abdomen shows an adrenal metastasis (spreading of a tumor to the adrenal gland, above the kidney) in a person with lung cancer.
Update Date: 5/1/2006 Updated by: Benjamin Taragin, M.D., Department of Radiology, Columbia Presbyterian Medical Center, New York, NY. Review Provided by VeriMed Healthcare Network.

| Home | Health Topics | Drugs & Supplements | Encyclopedia | Dictionary | News | Directories | Other Resources | |
| Copyright | Privacy | Accessibility | Quality Guidelines U.S. National Library of Medicine, 8600 Rockville Pike, Bethesda, MD 20894 National Institutes of Health | Department of Health & Human Services |
Page last updated: 02 January 2008 |